살충 활성이 있는 바실러스 투린지엔시스 아종 규슈엔시스 CAB464 균주 및 이의 용도
출원번호 : 10-2017-0146434 (출원일: 2017-11-06)
등록번호 : 10-1924881 (등록일: 2018-11-28)
특허권자 : 충남대학교산학협력단
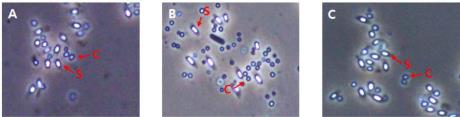
요약 : 본 발명은 살충 활성이 있는 바실러스 투린지엔시스 아종 규슈엔시스 CAB464 균주 및 이의 용도에 관한 것으로, 본 발명의 바실러스 투린지엔시스 아종 규슈엔시스(Bacillus thuringiensis subsp. kyushuensis) CAB464 균주를 처리할 경우, 파리목 해충인 작은뿌리파리(Bradysiaagrestis), 버섯파리(Lycoriellaingenua), 흰줄숲모기(Aedes albopictus), 토고숲모기(Aedestogoi) 및 빨간집모기(Culex pipiens pallens)에 대해 강력한 살충효과를 동시에 보이므로 이를 포함하는 본 발명의 조성물은 친환경적인 제제로서 작물에 미치는 영향을 최소화하고 작물에 발생하는 해충을 방제하는데 효과적이며, 속효성을 보임으로써 파리목 해충에 탁월한 살충효과를 얻을 수 있으므로, 무공해성 해충 방제용 제재의 개발 등에 유용하게 이용될 수 있다.
대표청구항 : 기탁번호가 KCTC13363BP이고, 작은뿌리파리(Bradysia agrestis), 버섯파리(Lycoriella ingenua), 흰줄숲모기(Aedes albopictus), 토고숲모기(Aedes togoi) 및 빨간집모기(Culex pipiens pallens)에 대해 살충 활성이 있는 바실러스 투린지엔시스 아종 규슈엔시스(Bacillus thuringiensis subsp. kyushuensis) CAB464 균주.
상세링크 : http://newsd.wips.co.kr/wipslink/api/dkrdshtm.wips?skey=3518494000712





