MAC 진단용 프라이머 쌍 및 이의 용도
출원번호 : 10-2009-0099328 (출원일: 2009-10-19)
등록번호 : 10-1181371 (등록일: 2012-09-04)
특허권자 : 충남대학교산학협력단
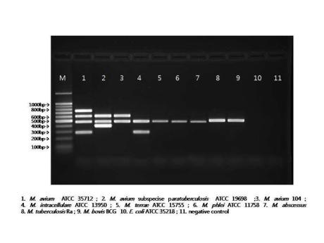
요약 : 본 발명은 MAC(Mycobacterium avium complex) 진단에 관한 것으로, 보다 자세하게는 MAC 균간에 특이적인 삽입 서열 마커(insertion sequence marker)에 특이적으로 결합하는 프라이머 쌍, 상기 프라이머 쌍을 포함하는 MAC 진단용 조성물 및 상기 프라이머 쌍을 이용하여 PCR을 수행한 후 PCR 산물을 확인함으로써 MAC를 진단하는 방법에 관한 것이다. 본 발명에 의하면, MAC의 동정 뿐만 아니라 아종(subspecies)도 감별 진단할 수 있어, 각 아종별로 신속하고 효율적인 치료가 이루어지도록 할 수 있다.
대표청구항 : 서열번호 1 및 서열번호 2로 이루어진 프라이머 쌍, 서열번호 3 및 서열번호 4로 이루어진 프라이머 쌍, 서열번호 5 및 서열번호 6으로 이루어진 프라이머 쌍, 및 서열번호 7 및 서열번호 8로 이루어진 프라이머 쌍을 포함하는 것을 특징으로 하는 MAC 진단 및 MAC 아종 구별용 조성물.
상세링크 : http://newsd.wips.co.kr/wipslink/api/dkrdshtm.wips?skey=3512382000156





